点击浏览 休斯顿黄页 电子书

  • 社评.0209 我们回家了

    我们回家了第二十八届国际农暦新年游园会演说词各位兄弟姐妹们, 敬爱的市长, 各位民选官员 ,大家好!今天我们回家了, 回到了这个国际大家庭。 我要特别感谢梅尔博士為我们提供如此美崙美奐的艾利学区职训中心大厦,以及近百位之筹备委员社区领袖们之努力, 我们大家聚集一堂 ,共同迎接龙年之到来。农暦新年是一个家庭团聚兴高採烈之日子, 我们在中国、 越南、 马来西亚、 新加坡等亚洲各国正在举办各种春节活动, 為龙年之到来為大家共同祈福。我们非常庆幸今天在此共


  • 社评0208 祝贺国际贸易中心波士顿分会成立

    祝贺国际贸易中心波士顿分会成立美南新闻集团化二十一年前创立的休斯敦国际贸易中心今天正式走进波士顿成立分支机构办事处, 希望今后在美东地区展开拓广文化经济贸易之交流。二十多年来 ,我经由各种不同形式之活动和德州地区之政府机构 、学术单位及工商团体,為超过一万二千家中小企业提供服务, 对促进德州和世界各地之交流贡献心力 。我今天特别兴𡚒,在此祝贺波士顿支构之成立, 并希望籍重侨学工商各界之支持, 為促进更多之交流活动, 并将参与十月初在德州休斯敦举办之首届休斯敦国际招商大会。在此我要特别感谢荣丽亚博士之全力支持, 能让波士顿分会成功开幕, 展开今后之会务


  • 社评 0207 岁末有感

    岁末有感我们欣见华亚裔社区正在热烈庆祝龙年之到来, 虽然身在他乡, 我们对於固有文化之追寻都抱有极大之热情。昨天在电视上看到新加坡总理李显龙伉儷在庆祝农历春节之灯会上发表了充满激情之谈话, 他充分肯定华裔对国家之贡献,并且以此為荣。 前交通部长赵小兰多次在她的演说中表示 ,我们要以华裔美人為荣 。近年来,由於世界及美国国内政治格局之改变, 对华亚裔之処境也随之困难, 许多令人髮指之法案, 充满歧视和违反我们立国之基本精神。今天我们许多华亚裔美人贡献了自己的青春和才智, 共同建设这𠆤伟大的移民国家, 我们是这块土地之主人,我们决不畏惧政客之无理行径, 必须团结一心, 為我们应有之权益而战。( 图片来源: 路透) Feelings At The End Of The Year


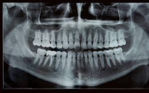
  • 大天使植牙专科 周启诚医生专栏 34 – 可用的不同类型的骨移植材料!

    在牙科诊所中,当患者被告知需要进行骨移植时,他们通常会认为所使用的所有骨移植材料都是相同的。 这与本案相反。 牙科使用的骨移植材料有四种主要类型,我将简要介绍并与您讨论。 希望这篇文章会对人们有所帮助,因为我们中的许多人在介绍和面对这个主题时常常对可用的骨移植材料类型感到困惑。 经常使用的第一种骨移植材料是同种异体移植物。 这种材料是取自同一物种(人类)的骨头,在使用之前首先经过彻底的加工和清洁。 这种类型的材料通常呈块状或颗粒状,牙医使用它们来维持或替换缺失的骨骼。


  • 社评0206 龙年新春贺词

    龙年新春贺词今天我们在美国德州休斯敦国际区美南新闻世界总部向全世界的华人同胞们拜年 !祝福大家事业蒸蒸日上,开啟𤌴烂的人生旅程 ;祝愿大家身体健康,精力旺盛,每天充满活力;祝愿您心中充满喜悦和希望,在新的一年中绽放爱之光芒;祝福您的好梦成真,龙年為您带来好运和吉祥。过去一年来,世界局势仍然在一片混乱之中 ,许多难民流离失所 ,成千成万的无辜平民死於战乱之中 。我们大家都期盼战争早日过去 ,还给世界一个和平的天地。( 图片来源:路透)New Year’s Greeting In The Year Of The DragonToday we are here with a warm New Year's greeting to all of our readers all over the world fr


  • 社评 0205 族裔团结 抱团取暖

    族裔团结 抱团取暖我们生活在这块土地上的各族裔社群, 由於各种歧视和国内外情势之变化,正在遭受前所未有之挑战。在德州边境一场激烈之边防争议已经被国外称之為美国内战将起,以色列在加萨走廊之復仇之战引起阿拉伯裔之怒吼, 俄罗斯和乌克兰已经交战二年, 共和党正在準备今年十一月重返白宫, 川普说要将美国重新伟大并扬言对世界各国都要徵收货物进口税,如果成為事实,世界经济格局将是重大重组和改变。这些变化对我们而言都会產生很大之影响,面对此情势大家务必团结起来,面对挑战。多年来,我们曾经尽力在各种不同之塲所举办各种活动, 透过不同型态之组织, 来彰显对社区之关怀。就在本週六由各族裔社团共同举办之新年游园会及第一届国际工商大展将由市长惠特迈主持剪綵, 代表了我们之一份团结力量 ,也是我们对推动休斯敦经济发展之贡献。


  • 社评0203 老中青新旧侨老友在美南新闻大团聚

    老中青新旧侨老友在美南新闻大团聚上週三我们邀集了近百位侨界大老及新侨近百人聚集在美南电视环球剧坊, 大家共话家常 ,参与者是我们多年老友及美南新闻之读者和听眾群, 他们曾经陪同我们一路走过数十年之岁月, 我们心中永存感激之情。当天在座的有许多土生土长来自广东福建臺湾的老侨以及近年来自大陆的新侨, 多年来我们在这块土地上共同打拼皆卓有所成。為了加强对各侨团侨社之新闻报导, 我们也敦请大家提供中英文之活动消息以加强美南新闻和侨胞之间之连络这,也是我们一直追求之目标。我们同时邀请大家参加下週六二月十日庆祝第二十八届农历春节新年之大型活动及首届休斯敦工商大展 大家共同迎接龙年之光临。我们一直热烈期盼身在美国之华裔人士必须守望相助, 团结一心, 大家共同争取我们应有之权益, 為我们及下一代之生存共同奋斗。


  • 社评0202 台北政坛风起云涌 韩国瑜出任院长

    台北政坛风起云涌 韩国瑜出任院长前高雄市长韩国瑜在立法院长之竞争中只以些微票数登上院长宝座 ,在此同时, 江啟臣也当选為副院长, 我们要在此向他们同时也是校友之院长副院长表示由衷之祝福。台湾近期之中华民国总统大选, 民进党以得票百分之四十点五继续执政, 而多数选民仍然希望新的政治变革。 但是民进党仍然继续撑握政権, 而韩国瑜在万难之情势下, 為国民党扳回一城。台湾在未来多变之国际情势及中美台关係必然佔有极其敏感和重要的地位。我的美国友人不论是政界精英或贩夫走卒, 一提起台湾 ,绝大多数都担心台湾未来之前途 ,有的甚至问会不会成為下一个乌克兰 ?韩院长, 你的责任太大了, 台湾是否得救 ,海峡两岸可否和平 ,全靠院长之智慧和努力了。Taipei Political Scene I


  • 社评 0201 联邦紧急救济总署向社区招手

    联邦紧急救济总署向社区招手组织龎大的美国联邦灾难救济总署週二中午派遣五位主管官员亲临休斯敦美南新闻总部,和华亚裔媒体进行了非常广泛之交流。   首先,由主管德州及西南地区之副执行长布拉雪尔向大家报告多年来联邦政府对於重大灾难发生时尽力支援受灾区是他们最重要之职责,除了协助重建之外, 并透过联邦小商业局之贷款协助商家恢復正常营业。在会中也有国家气象局专家黎利、 赫里斯郡国土安全部新闻协调官牧瑞及全国老人协会代表屠杜等,他们分别在会中呼吁社区领袖们必须做好準备,面对未来可能发生之灾难。我们


  • 社评0131 给艾利夫学区捐奖学金

    给艾利夫学区捐奖学金上週前往国际区内之艾利夫学区总部拜会了新任学区总监梅斯博士, 向他致赠二千元之奖助学金, 并向他的新职表示祝贺。艾利夫学区近年来在先后任学区总监之努力下 ,曾经通过了数亿元之教育公债, 為旧校舍之更新和兴建了一座数十万呎之职训中心, 分别设有烹飪、 汽车修理、 电焊、 护理 、电视摄影等技术培训,造就许多技术专业人才。 我们非常感谢在梅斯总监之协助下, 农暦新年游园会及第一届休斯敦国际工商大展将於二月十日在职训中心举行, 為休斯敦多元族裔文化继续写下歷史之新页。Donation Of Scholarships To Alief School DistrictLast week we went to Alief Independent School District to present a two-thousand-dolla


  • 社评 0130 清华才子 自毁前程

    清华才子 自毁前程加州矽谷本月中发生老公把妻子殴打致死案, 二十七岁清华状元高材生陈姓在美国取得学位后和他于姓同时也是清华高材生同时在谷歌工作, 由於感情问题常把妻子打伤并在警方记录在案, 不料本月中旬在他们价值二百多万美元之自宅中活活把妻子重拳把死, 这真是令人震惊而且难予接受之惨案, 陈姓兇嫌已经被捕。这对年轻之夫妻从清华一直到谷歌, 不过数年光景, 本身优异条件可谓少年得志, 登上美国高薪族 ,更成了科技新贵, 而他们之婚姻确非常艰辛因而经常有家庭暴力。我们也不难看出, 这些来自清华北大之高材生在美国非常容易飞煌腾达, 一步登天, 因而在文化上也有非常大之差异, 稍有不慎即会误入歧途。非常遗憾她们在黄金年华就丧失了前途 ,而最悲哀的还是父母亲友和师长, 培养一个人才是多么不容易 ,令人非常遗憾 。我们也只有向他们之家人致上由衷之哀悼, 请他们节哀顺变了。


  • 社评 0129 德州向联邦挑战

    德州向联邦挑战德州国民兵拒不服从联邦高等法院和联邦政府之命令, 反而继续设置更多之边境铁丝网,并且和联邦巡逻队继续对峙, 这已经造成国内严重的政治危机。前总统川普并且讃扬德州州长艾伯特之行动非常正确, 如果他再度入主白宫将会立即派兵支援。 据说一个有二千人的民间组织, 今明两天即将到达美墨边境参加阻止非法移民进入美国之行动。我们绝不愿见到紧张情势造成人员之伤亡,我们号称世界上民主国家之领袖, 真是让世界在看笑话。移民问题是政府长期无法解决之大事, 基本上全世界之难民都想要往美国跑, 而美墨冗长之边界无法阻止大批之人潮, 徳州政府对此也束手无策。 从政治选举而言, 对非法入境之人员是个非常热门之议题, 其中包括人道主义、 善待弱势、争取选票、 经济负担, 更重要


  • 大天使植牙专科 周启诚医生专栏 33——等待下一步背后的科学!

    我决定写这篇文章是为了回应许多接受种植牙的人,他们总是想知道为什么要花这么长时间才能长出最后一颗牙齿。 当然,会有一些例外,有些人会在种植牙的同一天获得“牙齿


  • 社评 0127 我们共同加强推动休斯敦国际合作

    我们共同加强推动休斯敦国际合作由美南新闻、国际贸易中心、 环球第一银行及近百个工商团体社团共同举办之首届休斯敦国际工商博览会及第二十八届龙年新年庆祝大会,将定於二月十日上午十时在埃里夫职训大楼揭幕, 為今年十一月份之扩大国际博覧会进行暖身。 正在筹办中之庆祝大会,今天接到市政府之通知, 将大力支持这项推动工商文化国际化之活动, 市长及有关市府主管官员都将出席。 休斯敦是全美第四大城, 强大之经济建立在能源、 太空、 医疗 、高科技及多元种族之居民 ,是全美非常耀眼之大城。新任市长惠特迈上任之后, 正在大力整顿市府人事及推动国际人士之投资,增加经济繁荣和就业机会。休斯敦国际工商博览会将為休斯敦走向国际化带来更多之影响, 大会将分為国内外两大部份, 国内参展者将分為能源、 地產投资、 金融、文化、 汽车等展区, 并设有


  • 慈济基金会德州分会2023年岁末祝福仪式,功德圆满

    【记者封昌明报导】 慈济基金会德州分会一月二十七日上午在该会静思堂举行2023年的岁末祝福仪式,驻休士顿台北经文处处长萧伊芳、组长张家华、侨教中心副主任黄依莉、斯坦福市议员谭秋晴、台乡会前会长宋明丽、陈逸玲、台商会会长徐世钢、前会长张园立、顾问周政贤等都与会观礼。 


  • 国际管理区区长李蔚华捐赠奖学金给ALIEF独立学区鼓励学子奋发向学

    【本报记者封昌明报导】美南媒体集团负责人李蔚华日前拜会Alief ISD学区,与该学区督学(Superintendent)Dr. Anthony Mays及公关专家Li Wen Su交换意见,李蔚华强调他身為国际管理区区长对辖内学区事务向来非常重视,他捐赠奖学金给学区,希望能鼓励学子们在学习上有卓越的表现。


  • 社评0126 欢迎检察总长奥克女士到访

            欢迎检察总长奥克女士到访赫里斯郡检察长奥克女士於週三下午前来美南新闻总部参访并接受了美南电视之採访, 她对於华亚裔国际社区之治安表示高度重视。已经连任近八年的司法最高首长, 在起诉反贪案件曾经有辉煌之成绩 ,并极力加强处理囤积之许多案件。奥克检察长在电视访谈中表示, 她曾经起诉过许多重大案件, 把罪犯繫之以法。治安是我们社区目前最重大之社会和经济问题, 新任市长惠特迈也以加强整顿治安当為第一要务, 而检察长也需要稹极配合办案。国际区在治安方面也加强应用摄相头等高科技设施,在区内设


  • Harris County DA Kim Ogg访问美南新闻,接受电视专访

    【记者封昌明报导】哈里斯县检察长金.奥格(Kim Ogg)1月24日在随扈的陪同下造访美南新闻集团,由董事长李蔚华率所有员工在大厅列队欢迎,Kim Ogg在李蔚华的陪同下与哈里斯县警官Don Quang Dinh共同参访了美南新闻大楼,随后进入摄影棚参与录影,阐述她在施政绩效。


  • 社评0125 川普重返白宫之路又近一步

    川普重返白宫之路又近一步尽管官司纒身,前总统川普在新罕布什尔州初选中获胜, 為他成為共和党总统候选人几成定局。 如果他在十一月大选中击败民主党之拜登总统, 这对世界局势尤其是中美臺关係带来新的局面。川普在主张美国第一之政治号召下, 他主张美国要大力开採石油去还债。 他说:“我们必须退出许多多边国际组织, 更无意派兵成為世界警察, 并主张对世界所有国家徵收至少百分之十以上之贸易关税, 并且要求包括北约、 日韩增加军费减轻美国之负担。”川普之出身和政治主张与拜登相比可谓是南辕北辙, 包括目前战火还在进行中的乌克兰及加萨走廊, 如果他重返执政 ,可能会有许多大动作。中美臺关係也极可能有重大变化, 从俄乌之战看来 ,美国和盟邦是不可能出兵 ,这对臺湾是一个非常重要的警讯。 换言之, 包括川普在内决不会派兵防卫臺湾。


  • S&S Youth Foundation基金会主办青少年演讲比赛圆满成功

    【记者封昌明休士顿报导】2024年1月20日,在休士顿Blossom hotel宝盛饭店举行的大休士顿青少年演讲比赛圆满结束,吸引了来自休士顿地区20多位不同年龄的青少年参与。比赛由S&S Youth Foundation主办,Walsun