点击浏览 休斯顿黄页 电子书

  • 环球第一银行上周六举行圣诞餐会 银行董事、员工、社区领袖欢聚一堂场面温馨

        (本报记者秦鸿钧)甫於今年九月九日盛大开业的环球第一银行(Globla One Bank ) 於上周六晚间在New Palace 餐厅举行一场温馨、简单的圣诞餐会。出席者包括该行内部董事、员工、社区领袖百人。大家在温馨的气氛中欢聚一堂,还有抽奖、卡拉OK 等节目,所有员工、董事人人有奖,皆大欢喜!    今年九月九日才正式开幕的环球第一银行(Global One Bank )在短三个月的时间内,业绩惊人,总资產已达一亿二千万(120 million ),已能平衡收支。该行是一支国际团队,除了韩裔行长兼CEO JP Park 外,「美南报业传媒集团」的董事长李蔚华先生更是该行的创始人,在该行成立的过程中,居功厥伟。李先生曾说:美国银行有4000多家,而少数族裔的银行只有70多家,要成立少数族裔的银行非常艰难,但在大家的关心和支持下,我们终於办到了。环球第一银行的成立,也让华盛顿知道,我们除了创业、做生意外,我们也能主宰金融,这是经济发展的命脉。环球第一银行除了為更多客户提供服务,也為多元民族、多元文化的少数族裔做出更大的贡献。    环球第一银行行址现已破土动工,并扩大股东范围,热烈欢迎各商家、个人来环球第一银行投资、贷款、开户盈利!


  • 社评1216 台湾选举白热化

    台湾选举白热化台湾中华民国总统副总统大选只剩下三十天,在野之国民党正在卯足全力 ,希望下架民进党重掌政権。 由柯文哲医生领导之民眾党也在做最后努力 ,希望奇蹟出现能打下江山。。台湾选举之投票率可能是居全球之冠 ,大约有超过百分之七十五以上选民前往投票, 而且在选举时出现在电视社群媒体之名嘴满天,遍地之广告牌 ,数万人之群眾大会 ,真令人结舌 。我曾经告诉许多在美国参选的政客们说 ,他们应该到台湾取经 ,只要学习到三分之一的技巧, 必然会当选无疑。此次大选由国民党主导之蓝军显然是全部归队了, 他们深知如果不能东山再起, 可能是中华民国最后一战。 台湾虽是弹丸之岛, 它的存在是中华民国存在之烟火, 更是全球国际政治之焦点 ,此次大选有何党掌权将会牵动未来世界之发展。我们期望台湾大选能顺利完成, 更重要的是不要沦為政客之棋子, 為岛上人民


  • 社评 1215 族裔联盟大团结

     族裔联盟大团结德州族裔大联盟成立大会上週日在德州休斯敦正式成立, 当天并且得到各界之捐款十万美元, 做為今后推动会务之资金。早在年前,德州州议会曾提出第147 条法案,企图禁止华人在德州购买土地及地產, 造成华亚裔社区之极大反抗, 在各族裔之奥援下总算暂时搁置。 好友国会眾议员格林及非裔领袖狄克森对此十分关注,并建议此时此刻应该大家团结起来, 共同面对恶法。 自去年开始 ,各族裔人士先后举行了无数次之筹备工作, 最终决定常设机构来為我们发声争取应有之权益。大联盟今后推动两项重大工作, 其中包


  • 社评 1214 华夏文化走进社区

    华夏文化走进社区二十多年来,美南新闻集团在庆农历春节活动从未间断, 不论刮风下雨, 我们都如期举行 。这也充分体现我们在海外发扬中华文化之信念。美国本来就是一个文化族裔之大熔炉, 二百多年来来自世界各地的移民纷纷在此落脚。 美国是个移民国家, 正因為有不断的移民涌入, 也是这些生力军成為社会发展之巨大动力。多年来, 我们努力成為社区一部份之步伐从未停歇过, 我们深知要在此落地生根,势


  • 社评1213 人生的拼图

    人生的拼图从政近半世纪的德州参议员惠特迈, 经过三年之筹备后 ,终於登上休斯敦市长宝座, 在他的人生图腾上登上了最高峯。 这位市长早年也在非常贫困之环境中长大 ,但是他非常年轻时就已立下从政之念头, 二十岁时当选為德州眾议员, 一路就在政界打滚, 非常熟知政界之运作。早在年前他就来到国际社区探访, 他对於治安表示高度之关切, 他说:“如果没有良好之治安环境 ,如何有繁荣之社区。”今晨他在接受电视访问时, 首先提出治安社区安全第一之囗号,他将继续任用现任局长来整合大休斯敦之警力, 来实现他的诺言。我们欣见新市长之上任, 多少市民对他寄望甚深, 我们决不可重演旧金山 、芝加哥大城之下沉现象。 休斯敦是个多族裔之大城市, 百分之七十以上是外


  • 社评 1212 华亚裔展现力量

    华亚裔展现力量早在年前休斯敦市长选战已经在我们华亚裔社区热烈展开, 这是多年来我们参加政治活动最活跃的一次, 不但举办了多次募款餐会及大小见面会, 不论支持哪位候选人, 大家都在全力以赴。自去年在德州州议会企图通过议案,禁示华人购买土地案引起大家之公愤 ,这是对华裔社区非常严重之挑战,并激发了我们大家的参政之意识。根据最新之人口统计数字,大休斯敦地区之华亚裔已近百分之八左右, 已经达到了关健性之数字, 在此人口比例之中包括最高教育程度及收入最高之群体。多年来, 大多数亚裔不太关心政治, 从上一代人口中得知许多母国之腐败, 於是当他们移居美国之后, 相对十分冷淡 。今天的情势已经改变 ,您不过问政治, 政治也会找到您头上。 我们的衣食住行和当政者是息息相关的。这是我们觉醒之时刻了


  • 社评1211 胜利的滋味

    胜利的滋味近千名支持者週六晚上聚集在休斯敦布朗会议中心,庆祝德州参议员惠特迈以极大差异在市长选举中获胜。 群眾之欢呼声及他慨慷胜利演说震撼了支持者 ,他誓言要澈底改变这个全美第四大城。在大休斯敦地区佔有总人口百分之七点五的华亚裔选民 , 一年多来就热情参加休斯敦市长之选举活动, 这也是首次破纪录之投票和捐款记录。经过了二年多之激烈竞争, 德州参议员惠特迈终於登上美国第四大城市长之宝座, 这位政坛老将将以他数十年从事经验来澈底改善市政方针。他在胜选之大会上特别强调我们多元族裔之重要性,


  • 社评 1209 最后一瞥

      最后一瞥 今晚走在美南广场上,树立在前院六呎之铁网高墙圈出近二英亩之空地, 準备开始动土兴建环球第一银行金融中心大楼, 离开时最后一瞥回看了这块空地, 不久将有一座新楼出现 。我心中喜忧参半, 心情颇為复杂 。在人生之道路上, 数十寒暑我们向前之步伐从未停歇过, 但是也曾经经歴过无数之


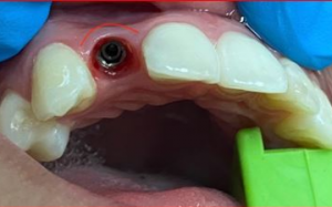
  • 大天使种植牙专科 周启诚医生专栏 26 –您的预后将决定您的种植治疗类型!

    有时,很多人来诊所寻求牙科治疗,但在这种情况下,保留天然牙齿比决定拔除所有牙齿更成问题。 对于这些类型的病例,我会尽力向患者彻底解释为什么这是真的,以及为什么充分理解这两种情况如此重要。 在这两种情况下,我的意思是,在一种情况下,一个人仍然有他或她的天然牙列,但他或她的许多或全部牙齿包括广泛的龋齿或与严重的牙周病(骨质流失)相关,第二种情况是 他们的情况相同,但只是这一次,包括因此拔掉所有牙齿。


  • 社评1208 市长是我们的父母官

       市长是我们的父母官休斯敦市长选举明天十二月九日上午七时半即将展开, 在下午七时结束后即将决出谁是下任市长。这次两位在初选中胜出之候选人都是政界之老将, 惠特迈从政五十年, 希拉稹克逊李近三十年在国会服务, 他们都是政治上之老手。在美国政府之体制中, 市长和市民之关係最为密切, 我们的衣食住行都在市政府之管理之下, 而且我们的税金多半也上缴到市府。 一个市长之能力事关到全市之前途 ,今天许多大城市由於市长无能, 市政不整 ,游民遍地 ,令人痛心。我们期望新的休斯敦市长能够為我们带来新气象, 才不辜负大家对他的支持。The Mayor's Job Is Looking Mo


  • 社评 1207 银行金融中心破土动工

             银行金融中心破土动工这是我们人生中最令人激动之时刻,在美南新闻广场上今天围起一大圈的护栏, 这是环球第一银行金融中心第一天动工, 我一大早就来到了工地, 我脚下踩着的这片土地, 写出了我们在美利坚共和国几十年之血泪𡚒斗史, 它不仅代表我们华亚裔之努力成绩 ,更是对这片土地之关爱和感激。在许多我给年轻人之讲话中, 一直强调不论你是亿万富豪或平民百姓, 我们都要存有对父母、友人感恩之心, 对每一位曾经帮助过我们的人都应感恩图报。 今天美南新闻能在美国德州休斯敦百利大道上同时兴建媒体、 贸易文化及金融中心 ,绝非偶然。 如果没有我们读者客户及社区之相助, 绝无此可能实现。我抚摸着工地围篱之铁网上, 心中激起无比之兴奋 ,这座金融中心之兴建, 在我们人生之图腾上重重的


  • 社评1206 竞选市长之战白热化

    ( Photo by Reuters )( Photo by Houston Chronicle )竞选市长之战白热化休斯敦市长之争昨晚在德州南方大学举办了最后一场辩论会, 两位候选人在会上针锋相对 ,希望在最后关头得到市民之支持。 截至目前初选投票结果, 德州参议员惠特迈仍然领先资深国会议员希拉稹克逊李。最近市政府正為水费问题大伤脑筋, 许多市民抱怨家中或公司水费暴涨, 其中包括我们报社也接到超过万元之水费账单, 经过向市议员之申诉, 至今尚未解决, 真是令人难予置信。


  • 社评 1205 我们正在推动农暦新年全市之活动

    我们正在推动农暦新年全市之活动整整二十七个年头, 美南新闻在德州休斯敦举办了二十七次之农暦新年庆祝会, 明年迎接龙年之到来, 将是我们连速第二十八届庆祝大会。由於扩大结合各种族社区, 明年将移师到位於西园路之艾利夫职训中心大楼内举行, 室内有二十多万呎埸地,室外有数千个停车位,风雨无阻,不会受天气之影响 。明年龙年庆祝大会, 主要由华亚裔社团及主流之工商团体共同主办, 其中分為美食及文化表演两大部份, 也将邀请非裔、 西裔及主流之团体共同表演,显示我们是一个族群之大熔炉。我们正在向市政府及市议会提出请求,


  • 社评 1204 与年轻朋友之对话

    与年轻朋友之对话上週六在休斯敦大专校联合主办的职涯跨域菁英论坛中, 非常高兴和许多年青朋友及许多早年来美求学有成的老朋友见面。 这埸座谈带给我人生腾图中诸多的回忆, 主辨单位的会长戴佩青及夫婿名医徐彤是我的亲外甥, 他在小学唸书时就自己掛上家中钥匙放学后自己开门回家, 他常给母亲也是他的外婆说:“ 他将来一定要做医生。” 我首先引用此故事说明年青人要定下自己之未来计划, 契而不捨自然可以达成目标。我的题目是 ——【走进休斯敦白宫之路】 因為我曾经把报社及住宅倣照白宫建造, 也是实现我美国梦的一大计划。我在演说中曾讲


  • 社评1202 休斯敦国际区大门即将兴建

                       休斯敦国际区大门即将兴建经过国际区议会多次之商议, 本週四经全体出席理事之投票通过 ,将在半年内兴建完成国际大门, 位置在八号公路通往百利大道於国际区之主要通道上。国际门高三十英呎, 宽六十呎,  路旁更有十七呎高之两座附墙, 全部宽达一百二十呎 ,将衬托出辉煌宏伟之气势。 大门以地球型嵌国际区字样,以金色及银色装上LED 灯光将永远闪烁着明亮光泽,象徵国际区之永久繁华和光


  • 社评1201 国际区双喜临门

    国际区双喜临门久未谋面的国际区理事史蒂文李今午出席了我们的月会, 大家都前往问候, 非常庆幸他在经过多月之病魔缠身之后, 终於重新站了起来。素有“休斯敦川普”称号之史蒂文, 他的成功是个非常传奇之故事, 当他从越南逃到美国之后, 尤於身体短小精干,从一名油管铁钳工开始,成為一位勇於拚搏的地產开发商,成功地在全市拥有许多商业地產, 近月来因為个人聚劳成疾  但他以无比之毅力终於站了起来。今天的月会上, 我们大家鼓掌欢迎他回到国际区大家庭, 同时也在会上通过建造国际区大门, 希望在六个月内完工落成。近二十年了, 史蒂文


  • 大天使植牙专科 周启诚医生专栏 24条 – 种植牙和美学!

    我们中的许多人经常认为,当您缺失牙齿时,将来可以简单地用某种口腔修复体来替换它们。 当然,还有更常见的牙齿缺失解决方案,例如牙桥和假牙,但越来越流行的是种植牙。 对于牙齿缺失的人来说,种植牙是迄今为止比其他可用选择更好的选择,因为它具有一系列经过广泛研究和证明的好处和优势。


  • 社评 1130 农历新年游园嘉华年会将扩大举行

                              农历新年游园嘉华年会将扩大举行為了迎接2024 龙年之到来, 美南新闻已经联合各界社团、 学区召开了第一次筹备会, 决定明年二月十日整天扩大休斯敦西南区举办的各项文化社区活动, 全面推动今后成為全市庆祝大会,吸引各地民眾参与, 促进观光和经济之发展。正在筹划中之庆祝大会, 将分為两大部份, 由各族裔进行文艺表演, 鼓乐队舞龙舞狮杂技, 在整天之活动舞台上充分表现各国之文化特色, 另一部份将设国际美食区, 将有代表各族裔餐厅参加 。多年来, 我们在国际区不断努力拓展工商业之进步, 繁荣地方经济, 卓有所成。新年游园会希望今后变成一个全市性之文化活动, 可以帮助休斯敦带来更多之观光客


  • 社评 1129 蓝天会在台湾再现吗

    蓝天会在台湾再现吗中华民国在台湾之总统副总统争夺战, 目前正在激烈展开中, 民进党、 国民党及民眾党都希望夺得胜利,主导未来政权。半年多来, 由柯文哲及侯友宜主导之民眾国民两党在台北君悦饭店之最后谈判 ,以闹剧不欢而散, 大家分道扬鏢 。有百年歷史的国民党立即提名媒体界老将有政治金童之称的赵少康及前高雄市长韩国瑜加入战斗行列 ,这支强壮队伍终於使国民党硷鱼翻身, 几天之内直逼民进党之民调, 而且有后来居上之趋势。郭赵两人之加入立即全面召回蓝营人马,  把基本盘重整到百分之三十以上。 民进党执政近八年来, 从改课纲到清算党產, 逼走媒体 ,已经使反对者咬牙切齿。 国民党此番若能重掌大权, 主张九二共识, 立即恢復两岸交流, 重改课纲, 缩短兵役, 重啟核电, 恢復特别检察署 。不过海外支持者已经做好準备, 蓝天是否重现, 答案将很快呈现。


  • 社评1128 休斯敦市长最后决胜负

    图片来源: Reuters图片来源: Houston Chronicle休斯敦市长最后决胜负美国第四大城之市长鹿死谁手将定於十二月九日揭晓,两位政坛老将都在做最后冲刺, 希望当上这座多元族裔之大城市之首长。根据最新之民意测验,州参议员惠特迈仍然领先国会议员希拉积克逊李百分之七,上次之得票数是一万七千四百一十票对九万零九十三票, 惠特迈领先约百分之七 ,其他十四人都被丢在后面。休斯敦是全美各族裔最多之大城市, 近年本全球各国之新移民也包括成千上万的加州人不断涌入, 同样也造成治安问题及公共设施之不足。